インスタグラム
症例一覧

症例一覧

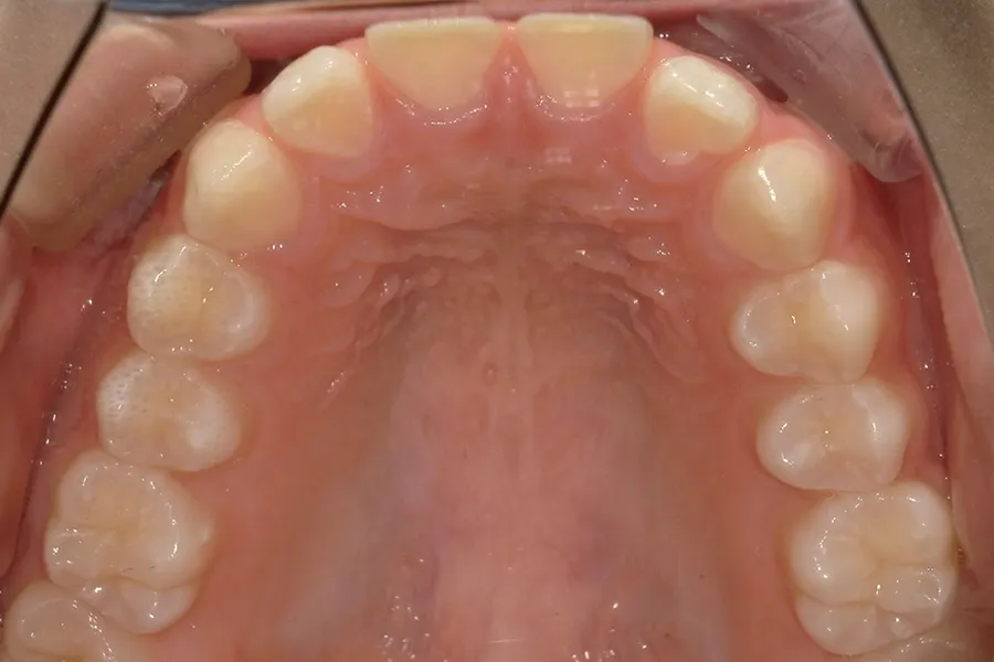
矯正歯科治療症例

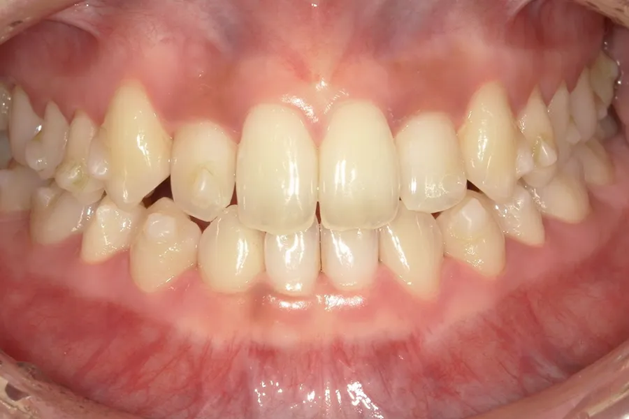
Case.1 
インビザラインによりすきっ歯を改善した症例

治療前

治療前

治療後

治療後

治療前

治療前

治療後

治療後
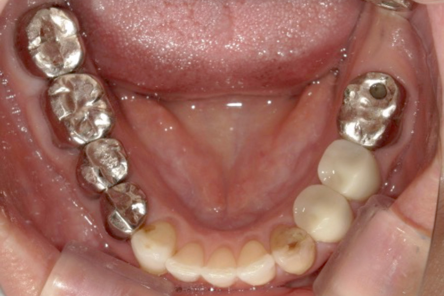
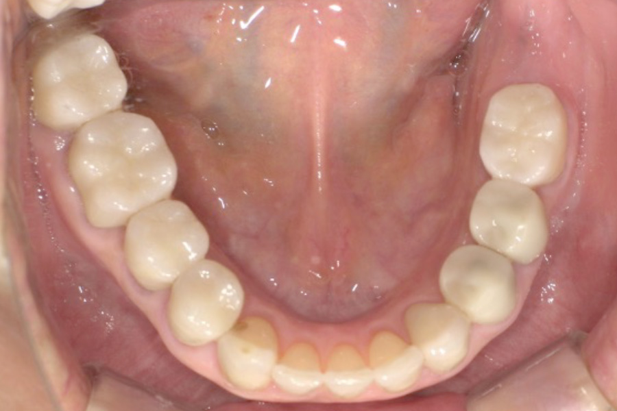
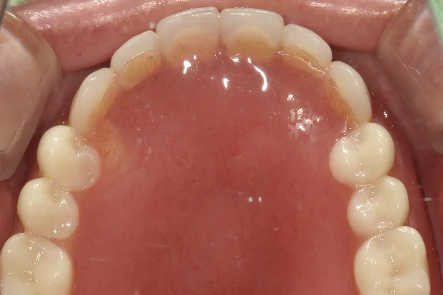
主訴 すきっ歯を改善したい
治療期間 11か月
治療費 ¥825,000
治療内容 インビザラインによる
マウスピース矯正治療
治療のリスク ・歯茎退縮のおそれ
・歯根吸収のおそれ
・顎関節に症状が出るおそれ

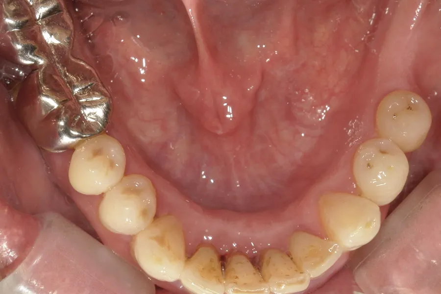
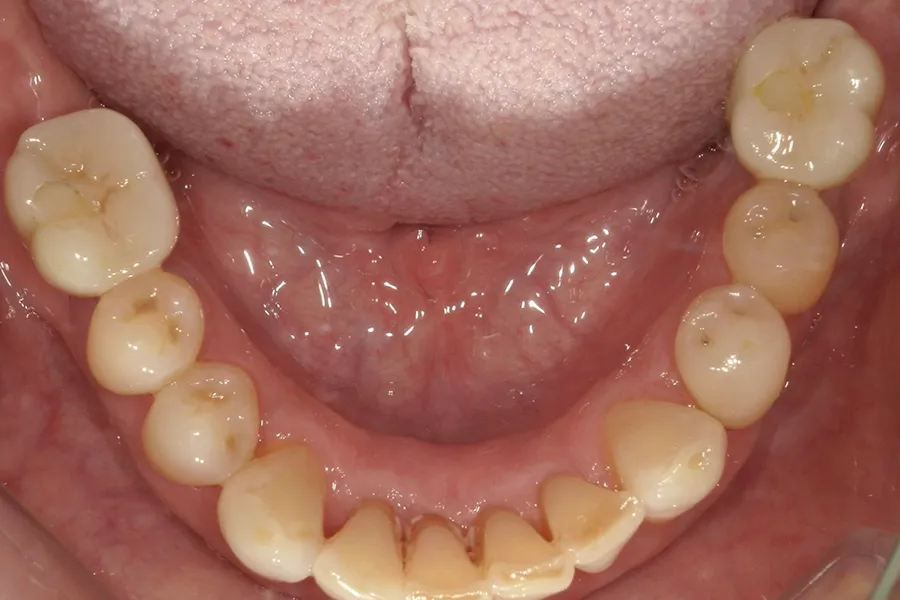
Case.2 
インビザラインにより歯並び、
噛み合わせを改善した症例

治療前

治療前

治療後

治療後
主訴 歯並び、嚙み合わせを改善させたい
治療期間 1年半
治療費 ¥825,000
治療内容 インビザラインによる
マウスピース矯正治療
治療のリスク ・歯茎退縮のおそれ
・歯根吸収のおそれ
・顎関節に症状が出るおそれ

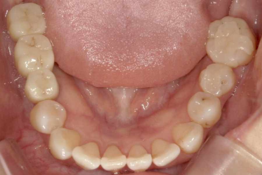
Case.3 
インビザラインにより歯並び、
噛み合わせを改善した症例

治療前

治療前

治療後

治療後
主訴 歯並び、嚙み合わせを改善させたい
治療期間 2年間
治療費 ¥825,000
治療内容 インビザラインによる
マウスピース矯正治療
治療のリスク ・歯茎退縮のおそれ
・歯根吸収のおそれ
・顎関節に症状が出るおそれ

インプラント治療症例

Case.1 
インプラントによる
左下の奥歯を噛めるよう改善した症例

治療前

治療前

治療後

治療後
主訴 左下の奥歯を噛めるようにしたい
治療期間 3か月
治療費 ¥800,000
治療内容 左下5.7インプラント治療
治療のリスク ・インプラントが定着しないおそれ

Case.2 
「左上に奥歯を入れたい」でご来院、
インプラント・補綴治療により対応した症例

治療前

治療前

治療後

治療後
主訴 左上に奥歯を入れたい
治療期間 4か月
治療費 ¥770,000
治療内容 左上奥歯に2本のインプラント埋入、補綴
治療のリスク ・歯茎が腫れるおそれ
・外科処置が必要となる
・インプラントが骨と定着しないおそれ

Case.3 
「噛めるようにしたい」でご来院、
上下オールオン4で改善した症例

治療前

治療前

治療後

治療後
主訴 噛めるようにしたい
治療期間 8か月
治療費 ¥5,500,000
治療内容 上下オールオン4
治療のリスク ・発音や咀嚼がしづらくなるおそれ
・インプラントが骨と定着しないおそれ
・下唇にしびれが生じるおそれ

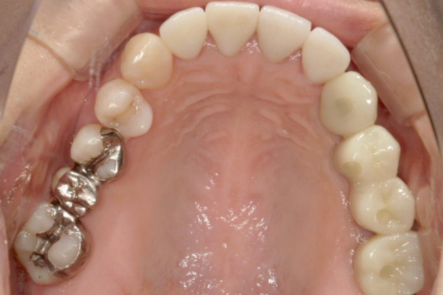
包括的歯科治療(インプラント・入れ歯・歯周病等を組み合わせた治療)症例

Case.1 
包括的歯科治療により口腔環境が改善した症例

治療前

治療前

治療後

治療後
主訴 前歯がグラグラ揺れていて治したい
治療期間 8か月
治療費 ¥1,000,000
治療内容 ・保存不可能な歯を抜歯
・歯周病治療
・上顎総入れ歯
・下顎インプラント
治療のリスク ・抜歯時に歯茎の腫れやお痛みがでるおそれ
・歯茎が下がるおそれ

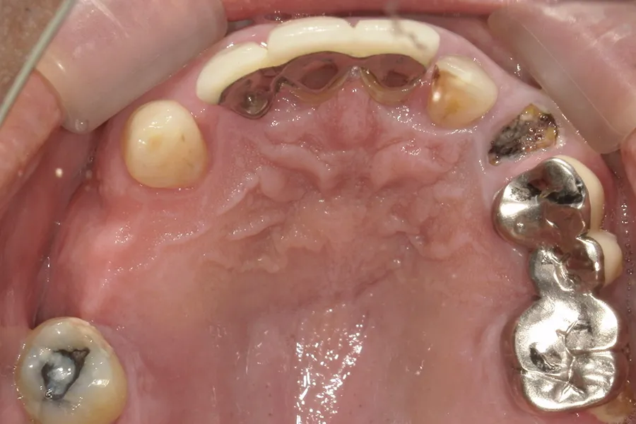
部位別治療詳細

上顎:包括的歯科治療の治療内容と経過

上顎前歯の動揺に対して抜歯・
神経治療後に総入れ歯で対応

治療前

治療前

治療後

治療後
主訴 上の前歯がグラグラ
治療期間 8か月
治療費 ¥50,000
治療内容 ・保存不可能な歯の抜歯
・保存可能な歯の神経の治療
・総入れ歯
治療のリスク ・抜歯時に歯茎の腫れ痛みがでるおそれ
・嘔吐反射により入れ歯が使えないおそれ

下顎:包括的歯科治療の治療内容と経過

奥歯の噛みにくさに対して抜歯・
歯周病治療後にインプラントで対応

治療前

治療前

治療後

治療後
主訴 奥歯で噛めない
治療期間 8か月
治療費 ¥900,000
治療内容 ・右奥歯の抜歯
・歯周病治療
・インプラント治療
治療のリスク ・歯茎がさがるおそれ
・インプラントが定着しないおそれ

Case.2 
包括的歯科治療により治療のやり直しを
行った症例

上顎:包括的歯科治療の治療内容と経過

治療前

治療前

治療後

治療後
主訴 虫歯を治したい
治療期間 6か月
治療費 ¥800,000(上顎)
治療内容 ・根管治療
・CR治療
・フルジルコニアのクラウンとブリッジ
治療のリスク ・一時的に腫れや疼痛が生じるリスク

下顎:包括的歯科治療の治療内容と経過

治療前

治療前

治療後

治療後
主訴 虫歯を治したい
治療期間 6か月
治療費 ¥600,000(下顎)
治療内容 ・根管治療
・CR治療
・フルジルコニアのクラウン
治療のリスク ・一時的に腫れや疼痛が生じるリスク

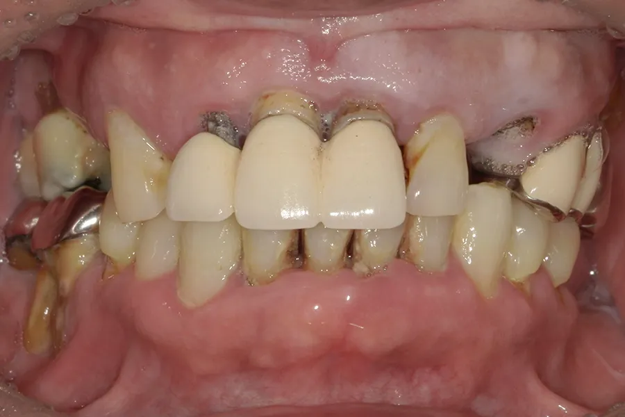
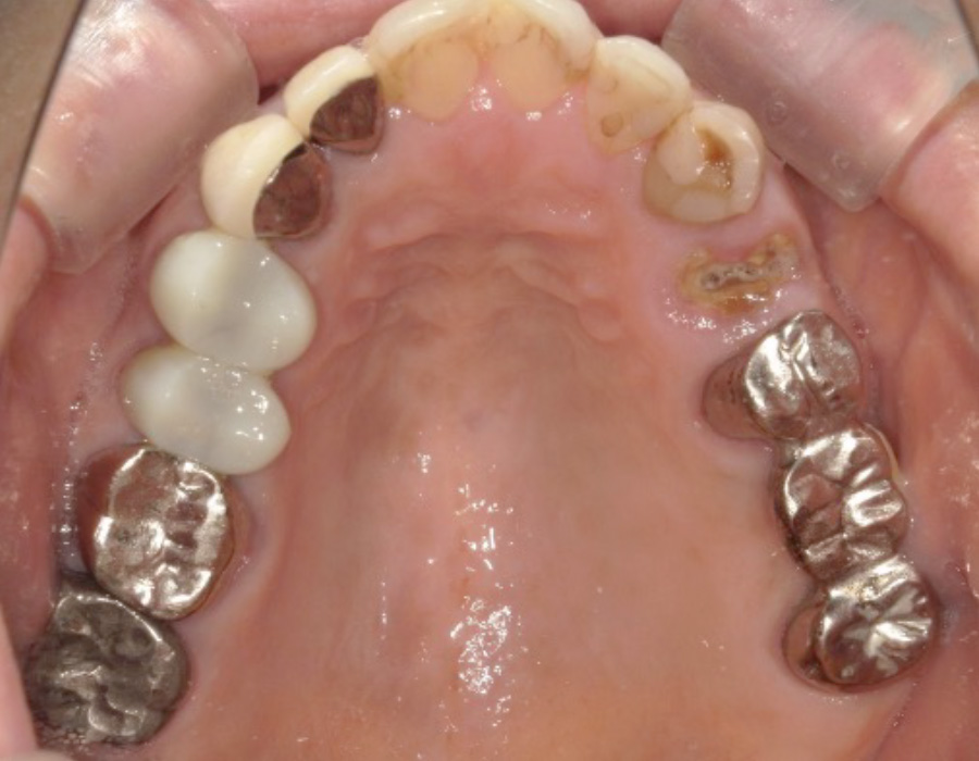
Case.3 
多く歯を失ってしまった口腔内環境を
包括的歯科治療により
改善した症例

上顎:包括的歯科治療の治療内容と経過

治療前

治療前

治療後

治療後
主訴 歯がボロボロなのを治したい
治療期間 8か月
治療費 ¥1,900,000(上顎)
治療内容 ・抜歯
・根管治療
・インプラント治療
・セラミッククラウン治療
治療のリスク ・一時的な腫れや痛みが生じるリスク
・インプラントが骨に定着しないリスク

下顎:包括的歯科治療の治療内容と経過

治療前

治療前

治療後

治療後
主訴 歯がボロボロなのを治したい
治療期間 8か月
治療費 ¥1,300,000(下顎)
治療内容 ・抜歯
・インプラント治療
・セラミッククラウン治療
治療のリスク ・一時的な腫れや痛みが生じるリスク
・インプラントが骨に定着しないリスク

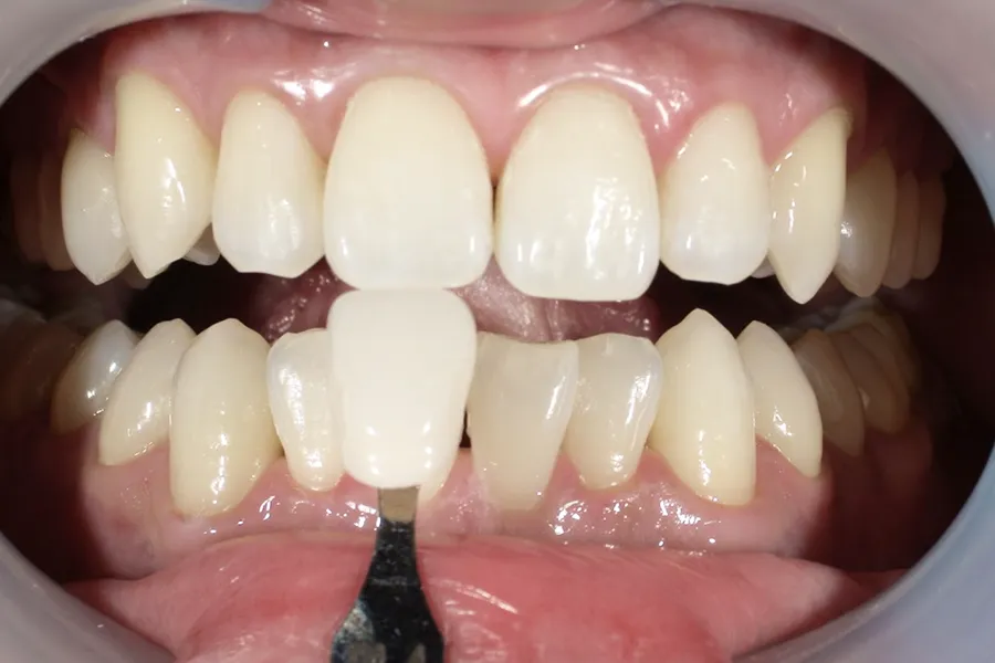
審美歯科治療症例

Case.1 
オフィスホワイトニングにより
歯の色を改善した症例

治療前

治療前

治療後

治療後
主訴 歯を白く明るくしたい
治療期間 60分
治療費 ¥9,900
治療内容 オフィスホワイトニング
治療のリスク ・知覚過敏が生じるおそれ
・歯茎が白くなるおそれ

当院のインスタグラム

WEB予約はこちら

LINE予約はこちら